
【亞太新聞網/記者孔亮云/彰化報導】
不只腎結石可用震波擊碎,現在心血管硬斑也能震碎!49歲事業有成的林先生日前進行低劑量電腦斷層肺癌篩檢(LDCT),意外發現心血管鈣化嚴重,進一步檢查才驚覺冠狀動脈竟有85%至100%的高度阻塞,引發急性心肌梗塞的風險極高。衛福部彰化醫院心臟科醫師李學林隨即以最新技術「血管內震波碎石術(IVL)」成功擊碎鈣化斑塊,並順利植入三支支架,讓血流重新暢通。

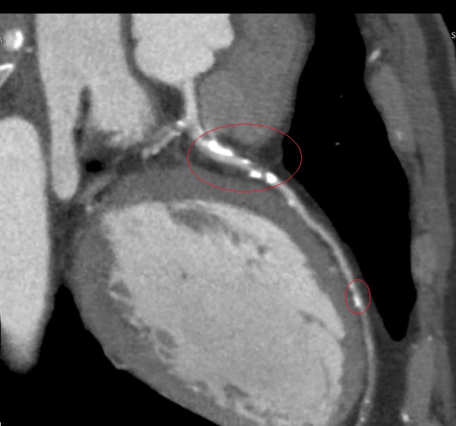
▲心臟冠狀動脈電腦斷層顯示林先生冠狀動脈鈣化阻塞。(圖╱彰化醫院提供)
這是彰化醫院新進設備及IVL技術的第一起病例,重拾健康的林先生發願幫助更多有經濟困難的病人能用到IVL新技術,因此指定用途捐贈108萬元給彰化醫院。對這項善舉林先生不願曝光,只說神明諭示他要給李學林醫師手術,受惠於醫療新技術,他願意貢獻一己之力。其實林先生自109年起即捐贈每月5萬元給彰化醫院社救基金。

▲李學林醫師指出,林先生進一步做心臟冠狀動脈電腦斷層,確認為3條主要冠狀動脈血管內鈣化狹窄達85%以上,若未及時處理,隨時可能引發急性心肌梗塞。(圖╱彰化醫院提供)
李學林表示,林先生日前接受肺癌篩檢時意外發現心血管鈣化,但無法確認是血管內或血管外鈣化。因患者平時已出現胸悶症狀,進一步做心臟冠狀動脈電腦斷層,確認為3條主要冠狀動脈血管內鈣化狹窄達85%以上,若未及時處理,隨時可能引發急性心肌梗塞。

▲「血管內震波碎石術(IVL)」對血管壁更為溫和,能有效降低血管破裂與剝離風險,安全性更高,但目前這項技術尚未納入健保給付。(圖╱彰化醫院提供)
李學林說,醫療團隊透過心導管手術搭配 IVL技術,利用震波氣球貼近血管壁發出超聲壓力波,擊碎血管壁的堅硬鈣化斑塊,讓原本僵硬的血管恢復擴張性,為支架放置創造理想的環境,再植入3支支架,使支架能完整展開、貼合血管,降低支架血栓及再狹窄的風險。
李學林指出,臨床上約有三成冠狀動脈疾病患者伴隨中重度血管鈣化狹窄,鈣化讓血管變硬、難以擴張,造成治療挑戰。相較於傳統治療如切割球囊或鑽石旋磨術,IVL對血管壁更為溫和,能有效降低血管破裂與剝離風險,安全性更高,但目前這項技術尚未納入健保給付。
李學林說,林先生本身具有三高、家族史及吸菸習慣,是典型的心血管疾病高風險族群,雖未發生急性心肌梗塞,但血管阻塞卻已悄悄累積。這次在肺癌篩檢中發現心血管鈣化,可說是「意外的及時預警」。
李學林表示,要看出心血管鈣化情況可以靠心臟冠狀動脈電腦斷層掃描,快速、無侵入性地檢測出心血管的鈣化程度,但必須自費且費用不低,如果能先做LDCT,不僅能篩檢肺癌,還能了解心血管的鈣化情況,如果發現心血管有鈣化,最好要與心臟專科醫師討論後續要做什麼檢查,以符合自身的需求,以免在心肌梗塞發作前錯失治療時機。
政府目前針對「具肺癌家族史」、「具重度吸菸史」兩大肺癌高風險族群,補助每兩年一次的免費LDCT,一般人則需自費篩檢,現今很多人在安排健檢時也會將LDCT納入項目,成了健檢趨勢。
2025/11/25 15:35:41文/品觀點編輯中心 國民黨立委張智倫針對「全民國防手冊」(小橘書)的發行問題提出質疑。張智倫指出,國防部第一版印製5000份時沒有賴清德總統簽名,第二版卻動用第二預備金6450萬元印製1100萬本,並加上總統簽名,批評這是「國防部的馬屁文化」。 [embedded content] Play 張智倫質疑,為何不使用一般預算而要動用第二預備金?他強調,第二預備金通常用於臨時狀況或災難發生時,且無需經過立法院審查。國防部副部長解釋,第一版印製時有編列預算,但後來發現效果良好,決定擴大印製時年度預算不足,才依預算法第70條申請第二預備金。 張智倫也針對手冊內推薦的APP提出問題,指出警政APP沒有離線地圖功能,而消防APP有此功能,且兩個APP對同一避難處所的收容人數顯示不一致。以立法院附近某收容處為例,一個APP顯示可容納1416人,另一個卻只顯示645人。內政部長劉世芳回應,兩套系統使用的參數不同,警政系統以建築技術規則核定的容納人數為準,消防系統則使用經緯度定位,可能將同一地點的多個避難處所合併計算。 針對私人大樓地下室避難空間的開放問題,張智倫關切民眾避難時大樓是否會開放。劉世芳明確表示,根據民防法規定,當空防警報發布時,這些大樓必須對外開放讓民眾避難。此外,劉世芳也說明,目前全台村里長的防災士訓練已達三分之一以上,未來將持續推動防災協作中心的建立。
2025 年臺灣教育科技展11/13日於臺北盛大開展,首日即吸引超過萬名教育工作者共襄盛舉,現場聚焦於 AI 教育應用的創新突破。隨著教育科技的快速發展與多元應用,教師角色正從知識傳遞者轉型為學習體驗設計師,而 AI 技術的導入,正是這場轉型的關鍵推手。 在眾多展出亮點中,由謙懿科技總代理的旗艦產品 Wayground AI 教學平台 成為全場焦點。以「AI 讓理想課堂即時實現」為主軸,Wayground 展示其直覺化操作介面與高效能 AI 引擎,吸引大量教育工作者駐足體驗。教師僅需輸入教學主題或課程目標,即可於數十秒內自動生成教材,內容涵蓋課程架構、練習題與延伸討論,大幅提升教學準備效率。 Wayground 聚焦「教師賦能」,整合 AI 教材生成、學習數據分析與教學策略建議等功能,協助教師有效提升教學品質與節奏。根據實際使用數據,該平台可為教師節省高達 80% 的備課時間,並已於全球超過 150 個國家落地應用,累積數百萬名使用者。其「科技輔助、教師主導」的理念,正逐步重塑未來教學的工作樣貌。 Wayground AI 輸入課綱關鍵字或章節可立即生成測驗題目。圖/謙懿科技提供 謙懿科技作為 Wayground 台灣總代理,持續深耕教育市場,並於該屆展覽首度整合多項自研與國際合作產品同台亮相,展現完整的數位教學生態鏈。除 Wayground 外,現場亦展出其自行研發的「得報」、「佳音數位英語雜誌平台」,以及代理的全球知名互動學習工具 Nearpod、Kahoot! 等,涵蓋課堂互動、語言訓練與素養培育,為教育機構提供全方位的數位轉型支援。 憑藉持續創新與對教育市場的敏銳洞察,謙懿科技榮獲 2025 年 HolonIQ「Taiwan EdTech 50」 殊榮,成為教育科技領域備受矚目的新興品牌。除產品研發外,謙懿亦積極投入教師專業成長支持,推出夜間直播節目《居久屋微醺夜》,邀請第一線教師分享課堂應用與科技實踐經驗,打造兼具溫度與專業的教育社群平台。 謙懿科技自行研發的佳音英語雜誌數位平台,及旗下代理相關平台同時展出。圖/謙懿科技提供 謙懿科技此次臺灣教育科技展中規劃多項互動內容,讓各級學校行政單位、圖書館管理者、教師能直接體驗 AI 在教學現場的實際應用: 「生成教材挑戰」:現場觀眾可輸入任一主題,體驗 Wayground 一鍵生成教材的高效率流程。 專屬諮詢方案:針對不同教育單位,提供量身打造的數位精進建議與年度優惠。 教育顧問交流區:由專業團隊分享 AI 教學導入策略與國際成功案例,探討教育轉型新方向。 秉持「科技讓教學更人性」的理念,謙懿科技致力於引進全球頂尖數位學習工具,服務大中華區教育工作者。未來,將持續以科技為橋梁,連結教師、學生與教育機構,讓理想課堂從構想走向實踐。
文/編輯中心 全球最重要的國際出版盛會──法蘭克福書展(Frankfurter Buchmesse)於 10 月 15 日至 19 日在德國舉行,臺灣館由文化內容策進院(文策院)統籌策劃、台北書展基金會承辦,攜手 46 家出版社、343 本原創書籍、八位版權人共同參展,並邀請柏林駐村作家小峱峱、吳懷晨、胡長松,以及具德語版作品的陳思宏、蒔舞、蕭瑋萱等六位創作者參展,透過小說、詩、漫畫、輕小說等不同形式的創作,展現臺灣創作的多元魅力。 臺灣駐德國代表處谷瑞生大使及駐法蘭克福辦事處羅美舜處長特別出席臺灣館開幕,谷大使於開幕致詞時感謝所有臺灣出版業者與作家的努力與投入,他表示,臺灣以創新與科技聞名,本次除了在法蘭克福書展呈現豐富多元的活動與出版品,更誠摯邀請各界親臨臺灣,感受其獨特魅力。 文策院董事長王時思表示,臺灣出版市場雖屬中小型,但外譯與國際授權成果持續增長,以多元、創新、開放的特色,逐步贏得國際青睞。為推動臺灣出版「產業化、國際化、規模化」,文策院在本屆書展不僅展示優質原創內容,也強化大會舞台活動合作、線上線下平台整合,以及版權媒合交流,將臺灣出版的實力與創意轉化為國際聲量與商業效益。 臺灣故事登上國際舞台與亞洲論壇 今年臺灣館規劃與協作超過 17 場活動,推動臺灣創作者及出版業者與國際市場接軌。大會國際舞台方面,已售出多國版權的《鬼地方》作者陳思宏與臺語文學作家胡長松,對談「鄉土與鬼影:魔幻寫實下的臺灣故事」;詩人吳懷晨、輕小說作家蒔舞與漫畫家小峱峱則於「靈的書寫:當詩、BL 與漫畫遇見臺灣民俗」,展開不同創作載體的碰撞激盪。 法蘭克福書展焦點之一的亞洲舞台(Asia Stage),臺灣出版業者參與多達九場論壇,涵蓋學術出版革新、跨域授權、亞洲犯罪文學及酷兒書寫等議題,透過與不同亞洲講者的交流互動,向全球出版業者呈現臺灣及亞洲書市的最新觀察與趨勢。 其他亮點活動包括:小說家蕭瑋萱與譯者 Karin Betz 在臺灣館分享德文版《成為怪物以前》的翻譯與創作經驗;漫畫家小峱峱於大型德國出版社 Egmont 的攤位進行現場創作與簽書,藉由跨國合作推廣,吸引更多歐洲讀者關注。 線上線下整合:IP Meetup 與版權媒合 每年法蘭克福書展除了聚焦讀者市場外,更積極鎖定國際出版專業買家。為擴大臺灣出版國際觸角,今年臺灣館首次將展出作品全面上傳至文策院的 IP Meetup 平台(https://ip.taicca.tw/index.do),該平台匯集臺灣各領域的原創內容,包括影視、動漫、出版、角色 IP、表演藝術等,供全球內容產業人士不限時空瀏覽與媒合,促進版權交易與跨域授權機會。 展期間,臺灣出版業者將進行超過百場國際版權會議,包含文策院主辦的 12 場重點版權媒合會,與來自義大利、英國、泰國、土耳其等各國專業人士洽商。此外,文策院持續舉辦「臺灣之夜」,邀請近百位海外買家與國內出版業者共聚一堂,以具文化特色的交流派對,深化臺灣與國際出版界的連結與合作。 持續拓展國際合作,開創市場可能 今年臺灣館主視覺由插畫家 Croter(洪添賢)設計,延續臺灣在首爾書展主題國的品牌形象,從書頁展開臺灣生活與文化景致,並融入象徵臺灣作品輸出的飛機、貨櫃船。展館空間同時具備展示、商務洽談與作家活動功能,呈現年度選書、得獎書、推薦作家作品及已授權出版品,吸引國際觀眾駐足。同時設置德語書籍販售專區,讓歐洲讀者可直接購買臺灣作品,拉近讀者與創作者的距離。 2025 年法蘭克福書展臺灣館以線上線下整合、國際交流媒合及作家活動等多元策略,展現臺灣出版的創意與專業能量,提升版權交易量,推動臺灣出版品進軍全球市場。文策院亦將持續透過國際展會與 IP Meetup 平台,促進臺灣原創內容的跨域授權,讓臺灣故事走向更寬廣的世界舞台。
– 此次合作透過本地支付通道,支持超過40貨幣進行快速低成本轉帳。 香港2025年12月10日 /美通社/ — 面向現代企業的領先一站式金融科技平台Aspire在香港推出快捷且低成本的國際多幣種支付服務,進一步推進其構建真正互聯互通的金融生態的使命。透過Wise Platform 面向銀行和企業的全球支付基礎設施提供的技術支援,使客戶能夠直接通過Aspire平台,以40多種貨幣向新加坡、美國、澳大利亞、日本和韓國等國家和地區進行轉帳。 Aspire和Wise於2019年在新加坡建立了合作,且成效顯著。如今,Aspire與Wise Platform深化合作,把快捷且低成本的跨境支付體驗帶給了中國香港客戶,在客戶日常用於支付、銀行卡及費用管理的同一介面中,即可享用便捷的國際多幣種低交易成本的快速轉帳服務。 Aspire首席執行官兼聯合創辦人Andrea Baronchelli表示:「跨境支付是全球商業的支柱,對於香港的企業而言,速度和成本效益至關重要。通過將Wise的基礎設施直接嵌入Aspire平臺,讓我們打造出真正互聯互通的體驗,銀行卡、支付、費用管理及全球轉帳能夠無縫協同。我們致力於為現代企業構建互聯互通程度最高的金融作業系統,此次合作的深化,是邁進這一願景的重要一步。」 Wise Platform亞太區總經理Samarth Bansal評論道:「像香港這樣的國際重要樞紐,企業每天的營運都會涉及跨境業務,提供一流的跨境支付體驗非常關鍵,也是企業對金融合作夥伴的核心要求。Aspire自2019年起便是我們的重要合作夥伴,助力其拓展業務並為客戶提供一致的跨境支付體驗,同時彰顯了Wise Platform的核心價值。我們很榮幸能為Aspire的客戶提供其所期望的速度、透明度以及端到端支付可控性。」 此次合作標誌著Aspire在香港的快速發展再創新里程。自2024年在香港推出服務以來,在尋求替代傳統銀行服務的現代化、互聯互通金融方案的初創企業和中小企業的推動下,Aspire的業務規模已實現三倍增長。 全新的國際支付功能現已向香港所有Aspire客戶正式開放。 關於Aspire Aspire是面向全球現代企業的一站式金融科技平台,已通過國際支付、資金、費用以及應收應付帳款管理解決方案,幫助超過50,000家企業實現降本增效——所有功能均可通過單一便捷的帳戶進行操作。Aspire總部位於新加坡,在9個國家和地區擁有500餘名員工,服務覆蓋30多個市場,並獲得紅杉資本(Sequoia)、Lightspeed、Y-Combinator、騰訊及Paypal等全球知名風投機構的投資。 關於Wise Platform Wise是一家全球科技企業,致力於打造一流的全球資金流轉與管理解決方案。過去十年間,Wise為全球資金流動構建了一套全新的金融網路體系。 借助Wise Platform,銀行及大型企業可利用Wise的技術,將國際匯款、收款及資金管理的最優方案嵌入自身現有基礎設施。Wise Platform在全球擁有眾多合作夥伴,能夠幫助銀行和企業為其客戶無縫提供快速、經濟、透明且便捷的跨境支付服務,有效節省時間和成本。
《Pokémon GO》今(11/27)日公布 2026 年度最大線下活動《Pokémon GO Tour:卡洛斯-台南》最新資訊,活動將於 2026 年 2 月 20 日至 22 日在台南都會公園舉辦,預計吸引大量國內外訓練家朝聖。早鳥票建議售價為新台幣 733 元(含稅),購票者可在三天活動中遇見首次登場的異色「蒂安希」,也能捕捉戴著卡魯穆帽子與莎莉娜帽子的限定皮卡丘。活動適逢農曆春節連假,官方提醒玩家提前安排住宿與交通。 限量版的「Pokémon GO Tour:卡洛斯」主題T恤。(圖/官方提供) 活動期間,台南都會公園將打造三大全新主題棲息地,包括中央村莊、海岸研究所與山脈地帶,玩家購票時可自由選擇起始棲息地。現場並設計多款不同造型的「多麗米亞」主題補給站轉盤,透過限時調查讓訓練家可於每日 17:00 前解鎖牠的造型變化。官方強調,「多麗米亞」通常僅在特定地區或活動中能變化外型,本次將是難得的收集機會。 本次最大突破是首度加入夜間限定內容「超級之夜」,讓活動不再受白天時段限制。訓練家可在夜晚持續捕捉寶可夢,同時體驗主辦方設計的燈光與音效活動,使冒險氛圍從日間延伸至深夜。除了主會場,三天期間台南市全區也同步開放城市探索內容,若購買城市加值包,玩家可延長最多兩天在市區享受 GO Tour 的延伸玩法,結合古城文化、美食與景點,打造兼具觀光與遊戲的旅遊體驗。 2018 Pokémon GO Safari Zone in Tainan 資料照(圖/臺南市政府觀光旅遊局提供) 活動現場也將販售限量「Pokémon GO Tour:卡洛斯」主題T恤,購買後可獲得可兌換同款遊戲內換裝道具的禮品卡。商品不開放線上預購,數量有限售完為止,不接受退換。台南市政府表示,將在活動期間提供接駁車直達會場,並建議玩家多利用火車、公車與大眾運輸,以便順利前往台南都會公園參與這場年度盛事。
(花蓮吉安有機車遭小客車撞飛捲入車底輾過,騎士搶救20天不治。圖/記者: 陳政勳) 【Lai傳媒、記者爆料網/陳政勳 花蓮報導】 花蓮驚傳死亡車禍,一名機車騎士在10月31日行經吉安鄉一處路口時,與一輛自小客車發生激烈碰撞,整個人連車帶飛滑入車底,當場遭輾壓,畫面驚悚。騎士送醫後經醫療團隊搶救長達20天,仍因傷勢過重宣告不治,家屬悲痛不已。 根據警方調查,事發當天兩車行經吉安路口時發生碰撞,撞擊力道猛烈,機車騎士被小客車底部捲入車底、還輾過。救護人員趕抵後緊急將騎士脫困送醫,然而因多處重創,生命跡象一度不穩。 醫院全力搶救,騎士在加護病房與死神搏鬥20日,期間病況反覆,最終仍因傷勢太重宣告不治。警方已對雙方駕駛進行酒測,並調閱監視器釐清車禍發生原因,詳細肇責仍待進一步調查。 當地居民指出,該路口車流多、視線易受遮蔽,過去也曾發生多起事故,呼籲相關單位加強改善,以免悲劇再度上演。 標籤: 合作媒體賴傳媒 本文為「記者爆料網」授權刊登,原文網址
▲49歲的林先生進行低劑量電腦斷層肺癌篩檢(LDCT),意外發現心血管鈣化嚴重,進一步檢查才驚覺冠狀動脈竟有85%至100%的高度阻塞,衛福部彰化醫院心臟科醫師李學林為他以最新技術「血管內震波碎石術(IVL)」成功擊碎鈣化斑塊,並順利植入三支支架,讓血流重新暢通。(圖╱彰化醫院提供) 【亞太新聞網/記者孔亮云/彰化報導】 不只腎結石可用震波擊碎,現在心血管硬斑也能震碎!49歲事業有成的林先生日前進行低劑量電腦斷層肺癌篩檢(LDCT),意外發現心血管鈣化嚴重,進一步檢查才驚覺冠狀動脈竟有85%至100%的高度阻塞,引發急性心肌梗塞的風險極高。衛福部彰化醫院心臟科醫師李學林隨即以最新技術「血管內震波碎石術(IVL)」成功擊碎鈣化斑塊,並順利植入三支支架,讓血流重新暢通。 ▲心臟冠狀動脈電腦斷層顯示林先生冠狀動脈鈣化阻塞。(圖╱彰化醫院提供) 這是彰化醫院新進設備及IVL技術的第一起病例,重拾健康的林先生發願幫助更多有經濟困難的病人能用到IVL新技術,因此指定用途捐贈108萬元給彰化醫院。對這項善舉林先生不願曝光,只說神明諭示他要給李學林醫師手術,受惠於醫療新技術,他願意貢獻一己之力。其實林先生自109年起即捐贈每月5萬元給彰化醫院社救基金。 ▲李學林醫師指出,林先生進一步做心臟冠狀動脈電腦斷層,確認為3條主要冠狀動脈血管內鈣化狹窄達85%以上,若未及時處理,隨時可能引發急性心肌梗塞。(圖╱彰化醫院提供) 李學林表示,林先生日前接受肺癌篩檢時意外發現心血管鈣化,但無法確認是血管內或血管外鈣化。因患者平時已出現胸悶症狀,進一步做心臟冠狀動脈電腦斷層,確認為3條主要冠狀動脈血管內鈣化狹窄達85%以上,若未及時處理,隨時可能引發急性心肌梗塞。 ▲「血管內震波碎石術(IVL)」對血管壁更為溫和,能有效降低血管破裂與剝離風險,安全性更高,但目前這項技術尚未納入健保給付。(圖╱彰化醫院提供) 李學林說,醫療團隊透過心導管手術搭配 IVL技術,利用震波氣球貼近血管壁發出超聲壓力波,擊碎血管壁的堅硬鈣化斑塊,讓原本僵硬的血管恢復擴張性,為支架放置創造理想的環境,再植入3支支架,使支架能完整展開、貼合血管,降低支架血栓及再狹窄的風險。 李學林指出,臨床上約有三成冠狀動脈疾病患者伴隨中重度血管鈣化狹窄,鈣化讓血管變硬、難以擴張,造成治療挑戰。相較於傳統治療如切割球囊或鑽石旋磨術,IVL對血管壁更為溫和,能有效降低血管破裂與剝離風險,安全性更高,但目前這項技術尚未納入健保給付。 李學林說,林先生本身具有三高、家族史及吸菸習慣,是典型的心血管疾病高風險族群,雖未發生急性心肌梗塞,但血管阻塞卻已悄悄累積。這次在肺癌篩檢中發現心血管鈣化,可說是「意外的及時預警」。 李學林表示,要看出心血管鈣化情況可以靠心臟冠狀動脈電腦斷層掃描,快速、無侵入性地檢測出心血管的鈣化程度,但必須自費且費用不低,如果能先做LDCT,不僅能篩檢肺癌,還能了解心血管的鈣化情況,如果發現心血管有鈣化,最好要與心臟專科醫師討論後續要做什麼檢查,以符合自身的需求,以免在心肌梗塞發作前錯失治療時機。 政府目前針對「具肺癌家族史」、「具重度吸菸史」兩大肺癌高風險族群,補助每兩年一次的免費LDCT,一般人則需自費篩檢,現今很多人在安排健檢時也會將LDCT納入項目,成了健檢趨勢。
【記者林家慶報導】 眾所期待的年度天文盛會「2025屏東追星季—冬之銀河變奏曲」將於本週六(12月13日)16時至21時在社頂自然公園登場!屏東縣政府邀請全國民眾走進這片珍貴的暗空淨土,在冬季銀河與雙子座流星雨最璀璨的時節,共度草地音樂、天文教育闖關與星空市集的繽紛夜晚,共同見證「屏東縣星空友善店家」授證典禮。 活動內容豐富,包含草地瑜珈、草地音樂會、追星市集與天文教育闖關等。天文闖關自下午4點開放,設置多個教育攤位。完成闖關即可參加抽獎,有機會獲得八大行星水晶球夜燈、黃道十二宮星空感溫變色杯等特色禮品。傍晚時分,可在草地上以瑜伽放鬆身心,隨後由「屏聯管銅管五重奏」帶來「星空變奏曲」音樂會,以輕柔爵士旋律營造浪漫氛圍。現場亦匯集超過20攤市集,包括在地社區推廣、文創商品與特色胖卡美食,為活動增添許多熱鬧氣息。 為讓民眾更深入感受星空魅力,活動特邀屏東星空大使施世治與星空解說團隊進行專業導覽,帶領民眾欣賞冬季銀河與雙子座流星雨的壯麗天象,歡迎大家一同來感受銀河的浩瀚。活動當天亦舉行「屏東縣星空友善店家」授證典禮,今年共有31家店家通過認證。縣府長期推動暗空觀光,以「暗天不暗地」的方式協助店家改善光環境,營造生態與觀星共好的夜間環境。縣長周春米於現場見證「好屏聚星」品牌揭牌儀式並頒發證書,肯定業者在推動暗空旅遊的努力。 本次活動採全接駁服務,請民眾將車輛停妥於「墾丁國家森林遊樂區停車場」,並搭乘接駁車來往社頂自然公園。屏東縣政府表示,未來將持續強化觀星推廣,並與星空友善店家攜手守護屏東珍貴的暗空資源,打造獨具魅力的星光旅遊品牌。更多活動訊息請至屏東縣政府交通旅遊處官網(https://www.pthg.gov.tw/traffic/Default.aspx)、屏東GO好玩官方臉書、屏東GO好玩APP查詢。 Continue Reading
新竹縣政府教育局今(11)日舉辦「114年全國青年公民提案競賽-竹光寶盒|城市共創靈感庫」頒獎暨成果發表會,邀請獲獎團隊以展覽及提案內容簡報呈現青年如何以創意行動回應在地公共議題及推動社會創新。 新竹縣長楊文科表示,這次青年朋友提案內容多元豐富,包括永續環境、社福及都市經濟發展等面向,年輕人展現創意無限及細心觀察,尤其運用年輕人時下流行溝通方式,將帶來更大的效益,也感謝教育部青年發展署給予支持,未來每年會持續遴選出非常棒提案,與相關局處進一步討論,並提出解決方案,歡迎更多青年朋友一起參與公共議題,攜手照亮新竹縣。 此次競賽以「公共參與培力」與「民主實踐」為主軸,全國計 23 組青年團隊報名,提案內容涵蓋環境永續、社會公益、都市發展等面向。經決選後,由【風城智遊】與【竹青AI特攻隊】獲得「城市共創優秀獎」,【新竹「封」垃圾 救「河川」】、【她的所在】與【安娜牧羊人行銷有限公司】獲得「城市共創佳作獎」,縣府並發出高達 21 萬元總獎金,勉勵青年展現跨領域創新與行動能力。 教育局長楊郡慈表示,縣府近年持續推動青年行動與跨域治理,不論是青年培力課程、志工與公共參與活動,或青年諮詢委員會、青年Podcast「Stan up 青開麥」等計畫,都期盼讓青年有更多發聲的場域,也讓政府能聽見來自第一線的需求與想法。 她說,今年度的提案團隊透過公共討論局處交流與業師輔導,有效提升提案的成熟度與在地連結度。未來這五件獲獎提案內容將提供相關局處作為施政參考,促進更多青年構想進入政策討論或跨單位合作,以行動落實「青年參與 ×城市共創」的精神。 今日活動除頒獎外,現場也展出五組團隊的提案成果,縣長楊文科、評審及局長楊郡慈也一同欣賞豐碩成果,金鐘獎主持人吳鳳亦以決選評審及貴賓身分出席,肯定青年對公共議題的投入,他也提到,這些提案都非常好及多元,希望有機會落實,這次感受到年輕人非常有想法,加上竹縣支持,相信讓很多年輕人有機會實現夢想,能夠擔任這次活動評審也相當開心。 圖:竹縣首屆青年公共參與競賽成果發表會合影/林冬生 攝影