【台灣電報記者 玉女/ 台中報導】
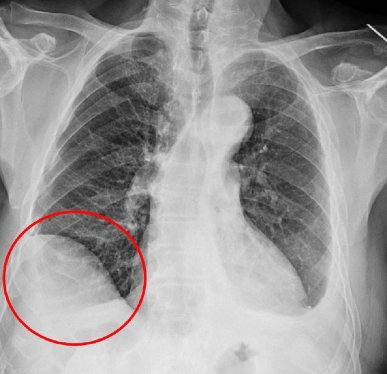
75歲吳先生因肝臟細胞癌在仁愛長庚合作聯盟醫院(大里仁愛醫院)接受治療,期間發現右下肺有一顆約1.2公分新發現的腫瘤,因疑似肺癌故轉介到胸腔及心臟血管外科廖啟耀主任門診,經醫療團隊和家屬討論後決定做手術切除該腫瘤。由於病人過去有車禍導致橫隔膜受傷的病史,所以讓手術預期難度相對提高,經採用達文西機器人手術系統執行肺節切除手術,並且順利地於術後第三天出院返家休養。
廖啟耀主任表示,雖然肺臟腫瘤手術在台灣十分普及且發達,但是有些病人的情況會使醫師預期手術難度提高,其中以過去有過外傷經歷、曾經接受過胸腔手術、肺臟腫瘤接受過放射性治療的病人最為常見,這類病人常見的手術困難度為解剖構造的改變,常因為胸腔發炎反應的影響,讓肺臟與周遭肋膜產生沾黏,同時血管的方向也更難分辨,對執行手術醫師而言是一項困難的挑戰。
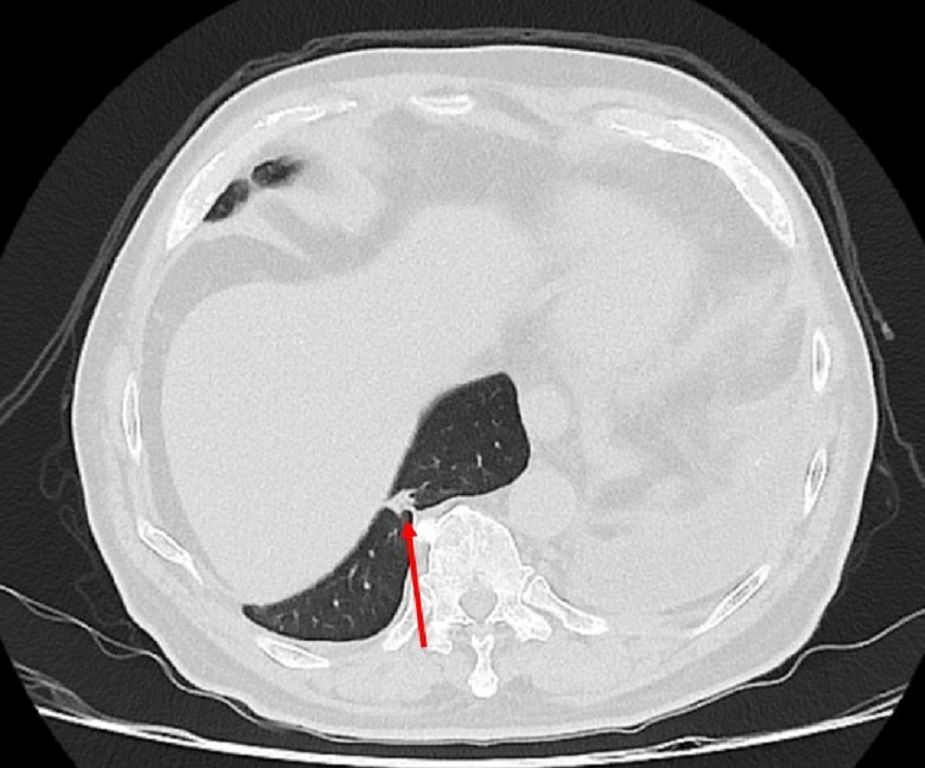
廖啟耀主任指出,仁愛與長庚醫療體系聯盟醫院近年來積極引進達文西機器人手術系統,並成立微創暨達文西手術中心,致力推動高品質、低侵襲性的手術照護。手術中病人的橫隔膜如果符合預期和肺臟沾黏,因此手術空間也較為狹小,達文西機器人手術可提供穩定的操作及清晰的手術視野,這對於外科醫師在分沾黏上是如虎添翼。達文西手術在這方面優勢更顯得突出,透過穩定且精細的操作,團隊將吳先生的橫隔膜與肺臟分離,並完成之後的肺節切除手術。
雖然因為外傷病史使手術困難度上升,廖啟耀主任的團隊藉由達文西機器人手臂幫助下成功完成手術,過往使用傳統開胸手術或胸腔鏡手術於類似的病人,常因為分沾黏導致肺破損所以需要較長的恢復時間,但是在進行達文西手術的過程中,不只術中沒有發生因為分沾黏常見的出血、肺破損等問題,吳先生在術後第二天便可拔除胸腔引流管,恢復順利。
廖啟耀主任強調,達文西手術是微創中的微創手術,可以幫助病人減少許多過往手術常見的問題,對病情複雜且困難的病人更是外科醫師的最佳選擇,不只創造更優秀的醫療環境,也幫助病人獲得更好的治療效果與生活品質。




2025/11/25 15:35:41文/品觀點編輯中心 國民黨立委張智倫針對「全民國防手冊」(小橘書)的發行問題提出質疑。張智倫指出,國防部第一版印製5000份時沒有賴清德總統簽名,第二版卻動用第二預備金6450萬元印製1100萬本,並加上總統簽名,批評這是「國防部的馬屁文化」。 [embedded content] Play 張智倫質疑,為何不使用一般預算而要動用第二預備金?他強調,第二預備金通常用於臨時狀況或災難發生時,且無需經過立法院審查。國防部副部長解釋,第一版印製時有編列預算,但後來發現效果良好,決定擴大印製時年度預算不足,才依預算法第70條申請第二預備金。 張智倫也針對手冊內推薦的APP提出問題,指出警政APP沒有離線地圖功能,而消防APP有此功能,且兩個APP對同一避難處所的收容人數顯示不一致。以立法院附近某收容處為例,一個APP顯示可容納1416人,另一個卻只顯示645人。內政部長劉世芳回應,兩套系統使用的參數不同,警政系統以建築技術規則核定的容納人數為準,消防系統則使用經緯度定位,可能將同一地點的多個避難處所合併計算。 針對私人大樓地下室避難空間的開放問題,張智倫關切民眾避難時大樓是否會開放。劉世芳明確表示,根據民防法規定,當空防警報發布時,這些大樓必須對外開放讓民眾避難。此外,劉世芳也說明,目前全台村里長的防災士訓練已達三分之一以上,未來將持續推動防災協作中心的建立。
2025 年臺灣教育科技展11/13日於臺北盛大開展,首日即吸引超過萬名教育工作者共襄盛舉,現場聚焦於 AI 教育應用的創新突破。隨著教育科技的快速發展與多元應用,教師角色正從知識傳遞者轉型為學習體驗設計師,而 AI 技術的導入,正是這場轉型的關鍵推手。 在眾多展出亮點中,由謙懿科技總代理的旗艦產品 Wayground AI 教學平台 成為全場焦點。以「AI 讓理想課堂即時實現」為主軸,Wayground 展示其直覺化操作介面與高效能 AI 引擎,吸引大量教育工作者駐足體驗。教師僅需輸入教學主題或課程目標,即可於數十秒內自動生成教材,內容涵蓋課程架構、練習題與延伸討論,大幅提升教學準備效率。 Wayground 聚焦「教師賦能」,整合 AI 教材生成、學習數據分析與教學策略建議等功能,協助教師有效提升教學品質與節奏。根據實際使用數據,該平台可為教師節省高達 80% 的備課時間,並已於全球超過 150 個國家落地應用,累積數百萬名使用者。其「科技輔助、教師主導」的理念,正逐步重塑未來教學的工作樣貌。 Wayground AI 輸入課綱關鍵字或章節可立即生成測驗題目。圖/謙懿科技提供 謙懿科技作為 Wayground 台灣總代理,持續深耕教育市場,並於該屆展覽首度整合多項自研與國際合作產品同台亮相,展現完整的數位教學生態鏈。除 Wayground 外,現場亦展出其自行研發的「得報」、「佳音數位英語雜誌平台」,以及代理的全球知名互動學習工具 Nearpod、Kahoot! 等,涵蓋課堂互動、語言訓練與素養培育,為教育機構提供全方位的數位轉型支援。 憑藉持續創新與對教育市場的敏銳洞察,謙懿科技榮獲 2025 年 HolonIQ「Taiwan EdTech 50」 殊榮,成為教育科技領域備受矚目的新興品牌。除產品研發外,謙懿亦積極投入教師專業成長支持,推出夜間直播節目《居久屋微醺夜》,邀請第一線教師分享課堂應用與科技實踐經驗,打造兼具溫度與專業的教育社群平台。 謙懿科技自行研發的佳音英語雜誌數位平台,及旗下代理相關平台同時展出。圖/謙懿科技提供 謙懿科技此次臺灣教育科技展中規劃多項互動內容,讓各級學校行政單位、圖書館管理者、教師能直接體驗 AI 在教學現場的實際應用: 「生成教材挑戰」:現場觀眾可輸入任一主題,體驗 Wayground 一鍵生成教材的高效率流程。 專屬諮詢方案:針對不同教育單位,提供量身打造的數位精進建議與年度優惠。 教育顧問交流區:由專業團隊分享 AI 教學導入策略與國際成功案例,探討教育轉型新方向。 秉持「科技讓教學更人性」的理念,謙懿科技致力於引進全球頂尖數位學習工具,服務大中華區教育工作者。未來,將持續以科技為橋梁,連結教師、學生與教育機構,讓理想課堂從構想走向實踐。
文/編輯中心 全球最重要的國際出版盛會──法蘭克福書展(Frankfurter Buchmesse)於 10 月 15 日至 19 日在德國舉行,臺灣館由文化內容策進院(文策院)統籌策劃、台北書展基金會承辦,攜手 46 家出版社、343 本原創書籍、八位版權人共同參展,並邀請柏林駐村作家小峱峱、吳懷晨、胡長松,以及具德語版作品的陳思宏、蒔舞、蕭瑋萱等六位創作者參展,透過小說、詩、漫畫、輕小說等不同形式的創作,展現臺灣創作的多元魅力。 臺灣駐德國代表處谷瑞生大使及駐法蘭克福辦事處羅美舜處長特別出席臺灣館開幕,谷大使於開幕致詞時感謝所有臺灣出版業者與作家的努力與投入,他表示,臺灣以創新與科技聞名,本次除了在法蘭克福書展呈現豐富多元的活動與出版品,更誠摯邀請各界親臨臺灣,感受其獨特魅力。 文策院董事長王時思表示,臺灣出版市場雖屬中小型,但外譯與國際授權成果持續增長,以多元、創新、開放的特色,逐步贏得國際青睞。為推動臺灣出版「產業化、國際化、規模化」,文策院在本屆書展不僅展示優質原創內容,也強化大會舞台活動合作、線上線下平台整合,以及版權媒合交流,將臺灣出版的實力與創意轉化為國際聲量與商業效益。 臺灣故事登上國際舞台與亞洲論壇 今年臺灣館規劃與協作超過 17 場活動,推動臺灣創作者及出版業者與國際市場接軌。大會國際舞台方面,已售出多國版權的《鬼地方》作者陳思宏與臺語文學作家胡長松,對談「鄉土與鬼影:魔幻寫實下的臺灣故事」;詩人吳懷晨、輕小說作家蒔舞與漫畫家小峱峱則於「靈的書寫:當詩、BL 與漫畫遇見臺灣民俗」,展開不同創作載體的碰撞激盪。 法蘭克福書展焦點之一的亞洲舞台(Asia Stage),臺灣出版業者參與多達九場論壇,涵蓋學術出版革新、跨域授權、亞洲犯罪文學及酷兒書寫等議題,透過與不同亞洲講者的交流互動,向全球出版業者呈現臺灣及亞洲書市的最新觀察與趨勢。 其他亮點活動包括:小說家蕭瑋萱與譯者 Karin Betz 在臺灣館分享德文版《成為怪物以前》的翻譯與創作經驗;漫畫家小峱峱於大型德國出版社 Egmont 的攤位進行現場創作與簽書,藉由跨國合作推廣,吸引更多歐洲讀者關注。 線上線下整合:IP Meetup 與版權媒合 每年法蘭克福書展除了聚焦讀者市場外,更積極鎖定國際出版專業買家。為擴大臺灣出版國際觸角,今年臺灣館首次將展出作品全面上傳至文策院的 IP Meetup 平台(https://ip.taicca.tw/index.do),該平台匯集臺灣各領域的原創內容,包括影視、動漫、出版、角色 IP、表演藝術等,供全球內容產業人士不限時空瀏覽與媒合,促進版權交易與跨域授權機會。 展期間,臺灣出版業者將進行超過百場國際版權會議,包含文策院主辦的 12 場重點版權媒合會,與來自義大利、英國、泰國、土耳其等各國專業人士洽商。此外,文策院持續舉辦「臺灣之夜」,邀請近百位海外買家與國內出版業者共聚一堂,以具文化特色的交流派對,深化臺灣與國際出版界的連結與合作。 持續拓展國際合作,開創市場可能 今年臺灣館主視覺由插畫家 Croter(洪添賢)設計,延續臺灣在首爾書展主題國的品牌形象,從書頁展開臺灣生活與文化景致,並融入象徵臺灣作品輸出的飛機、貨櫃船。展館空間同時具備展示、商務洽談與作家活動功能,呈現年度選書、得獎書、推薦作家作品及已授權出版品,吸引國際觀眾駐足。同時設置德語書籍販售專區,讓歐洲讀者可直接購買臺灣作品,拉近讀者與創作者的距離。 2025 年法蘭克福書展臺灣館以線上線下整合、國際交流媒合及作家活動等多元策略,展現臺灣出版的創意與專業能量,提升版權交易量,推動臺灣出版品進軍全球市場。文策院亦將持續透過國際展會與 IP Meetup 平台,促進臺灣原創內容的跨域授權,讓臺灣故事走向更寬廣的世界舞台。
– 此次合作透過本地支付通道,支持超過40貨幣進行快速低成本轉帳。 香港2025年12月10日 /美通社/ — 面向現代企業的領先一站式金融科技平台Aspire在香港推出快捷且低成本的國際多幣種支付服務,進一步推進其構建真正互聯互通的金融生態的使命。透過Wise Platform 面向銀行和企業的全球支付基礎設施提供的技術支援,使客戶能夠直接通過Aspire平台,以40多種貨幣向新加坡、美國、澳大利亞、日本和韓國等國家和地區進行轉帳。 Aspire和Wise於2019年在新加坡建立了合作,且成效顯著。如今,Aspire與Wise Platform深化合作,把快捷且低成本的跨境支付體驗帶給了中國香港客戶,在客戶日常用於支付、銀行卡及費用管理的同一介面中,即可享用便捷的國際多幣種低交易成本的快速轉帳服務。 Aspire首席執行官兼聯合創辦人Andrea Baronchelli表示:「跨境支付是全球商業的支柱,對於香港的企業而言,速度和成本效益至關重要。通過將Wise的基礎設施直接嵌入Aspire平臺,讓我們打造出真正互聯互通的體驗,銀行卡、支付、費用管理及全球轉帳能夠無縫協同。我們致力於為現代企業構建互聯互通程度最高的金融作業系統,此次合作的深化,是邁進這一願景的重要一步。」 Wise Platform亞太區總經理Samarth Bansal評論道:「像香港這樣的國際重要樞紐,企業每天的營運都會涉及跨境業務,提供一流的跨境支付體驗非常關鍵,也是企業對金融合作夥伴的核心要求。Aspire自2019年起便是我們的重要合作夥伴,助力其拓展業務並為客戶提供一致的跨境支付體驗,同時彰顯了Wise Platform的核心價值。我們很榮幸能為Aspire的客戶提供其所期望的速度、透明度以及端到端支付可控性。」 此次合作標誌著Aspire在香港的快速發展再創新里程。自2024年在香港推出服務以來,在尋求替代傳統銀行服務的現代化、互聯互通金融方案的初創企業和中小企業的推動下,Aspire的業務規模已實現三倍增長。 全新的國際支付功能現已向香港所有Aspire客戶正式開放。 關於Aspire Aspire是面向全球現代企業的一站式金融科技平台,已通過國際支付、資金、費用以及應收應付帳款管理解決方案,幫助超過50,000家企業實現降本增效——所有功能均可通過單一便捷的帳戶進行操作。Aspire總部位於新加坡,在9個國家和地區擁有500餘名員工,服務覆蓋30多個市場,並獲得紅杉資本(Sequoia)、Lightspeed、Y-Combinator、騰訊及Paypal等全球知名風投機構的投資。 關於Wise Platform Wise是一家全球科技企業,致力於打造一流的全球資金流轉與管理解決方案。過去十年間,Wise為全球資金流動構建了一套全新的金融網路體系。 借助Wise Platform,銀行及大型企業可利用Wise的技術,將國際匯款、收款及資金管理的最優方案嵌入自身現有基礎設施。Wise Platform在全球擁有眾多合作夥伴,能夠幫助銀行和企業為其客戶無縫提供快速、經濟、透明且便捷的跨境支付服務,有效節省時間和成本。
商傳媒|記者張庭毓/綜合外電報導 備受關注的美韓造船合作計畫在 2025 年末遭遇重大法律挫折。根據《韓國民族日報》報導,美國國會近日表決通過的 2026 財政年度《國防授權法案》(NDAA)最終版本中,原先一項「允許韓國投資並經營美國新造船廠」的關鍵條款已遭到刪除。儘管川普(Donald Trump)政府與韓國政府於今年 11 月甫簽署價值 1,500 億美元的造船合作備忘錄(MOU),試圖推動「讓美國造船業再次偉大」(MASGA)計畫,但美國國會顯然在「保護本土勞工」與「國防安全」的權衡下,選擇維持近乎封閉的造船法律門檻。此舉無疑對積極擴張北美版圖的韓華海洋(Hanwha Ocean)與 HD 現代重工(HD Hyundai)澆了一盆冷水,也凸顯出美韓「經濟與安保同盟」在實踐層面上的深層矛盾。 法律高牆難越:國會堅守「伯恩斯-托勒夫森修正案」 此次爭議的核心在於美國長年奉行的保護主義法律。國會議員在法案中重申了《伯恩斯-托勒夫森修正案》(Byrnes-Tollefson Amendment)的效力,該法律嚴禁美國海軍軍艦在「外國造船廠」建造。 上限兩艘限制: 2026 財年 NDAA 規定,美國海外軍艦建造上限僅為兩艘,且嚴格限制為「非戰鬥支援艦」,完全排除了韓國造船業最期待的宙斯盾驅逐艦或潛艦訂單。 刪除投資寬限: 眾議院與參議院協商後,將允許外國(如韓國、日本)資金進入美國領土「新建造船廠」的例外條款予以剔除,理由是需優先確保美國本土造船供應鏈的自主性與安全性。 財經視角:1,500 億美元投資案面臨「執行荒」 這項法律變動讓 11 月才風光簽署的韓美貿易協議陷入尷尬境地。根據協議,韓國承諾向美投資 1,500 億美元以換取關稅減免與軍事技術合作,但法律障礙可能導致資金無法如期落實: 韓華海洋(Hanwha Ocean): 雖然已斥資收購費城造船廠(Philly Shipyard),但若無法獲得 NDAA 的例外條款支持,未來在爭取美國本土軍艦建造訂單時,仍將面臨極大的法律審查與國產化率要求。 HD 現代(HD Hyundai): 先前採取較保守的技術合作模式,目前雖在 MRO(維修、翻修與運行)業務上小有斬獲,但對於更具利潤的「整艦外銷」計畫,其法律路徑已幾乎被封鎖。
【賴傳媒、記者爆料網 王俊勝/台南報導】台南永康一間超商昨(27)日傳出肢體衝突,起因竟是進出店門「互不相讓」擦撞肩膀。警方指出,陳姓男子與趙姓男子因門口擦撞爆發口角,趙男弟弟與趙父隨後也加入爭執,雙方推擠演變成扭打,最後造成陳男、趙男弟弟及趙父共3人受傷,3人均提出傷害告訴,全案依傷害罪移送台南地檢署偵辦。 ▲台南永康超商口全武行!疑「不讓路撞肩」爆衝突 3男掛彩互告(圖/讀者提供;未經授權請勿翻攝) 警方調查,事發當時陳男與趙男在超商門口進出時因未互相禮讓,雙方肩膀不慎相撞,陳男隨即與趙男、趙男弟弟爆發口角。過程中,剛好趙父得知後上前了解,沒想到也捲入爭執,現場火氣越燒越大。 警方指出,趙父聞聲後也上前理論,造成與陳男有肢體衝突,趙男弟弟見父親遭推,立刻回推陳男;陳男疑因不滿被推,因要保護自己出手攻擊趙父,趙男弟弟見狀也上前與陳男扭打,混亂中造成3人不同程度受傷。 警方獲報後到場處理,先行協助現場秩序控管並了解雙方身分與衝突經過。由於涉案3名男子皆表明要提告,警方依規定受理傷害告訴,後續將調閱超商監視器畫面、釐清各方動手先後與責任歸屬,並依刑法傷害罪嫌移送台南地檢署偵辦。 警方也提醒,民眾在公共場所進出、排隊或取物時難免擦撞,若有不滿可先冷靜溝通,避免一時衝動演變成打架,不僅傷身也可能吃上官司。 本文為「記者爆料網」授權刊登,原文網址
圖說:(圖/晉基建設股份有限公司) 【記者羅伯特/綜合報導】被譽為「觀光界奧斯卡」的交通部觀光署「台灣觀光金獎」於今日舉行頒獎典禮。台灣守護文創董事長、同時也是晉基建設總經理的陳仁昌,憑藉長期深耕地方創生與推動永續旅遊的卓越貢獻,從數百位角逐者中脫穎而出,榮獲2026第三屆台灣觀光金獎「熱心觀光事業工作人員」殊榮。此獎項不僅肯定其個人在文化保存上的熱忱,更彰顯晉基建設作為「文化型永續建商」,成功將在地文化轉化為具備國際競爭力的觀光產值。 圖說:(圖/晉基建設股份有限公司) 陳仁昌董事長長期致力於保存全台最古老、擁有兩百多年歷史的「井仔腳瓦盤鹽田」,並透過品牌化經營與「白金四季 井仔腳鹽田藝術節」的策劃,持續推動文化資產活化與地方創生。近年更藉由晉基守護教育基金會策動藝術節,以百年鹽田作為地景舞台,結合藝術跨界與在地資源,讓傳統鹽田與當代美學交會,不僅成功帶動食農教育、綠色永續旅遊與地方觀光發展,每年更吸引超過五十萬人次造訪台南北門,顯著提升在地觀光動能。井仔腳瓦盤鹽田亦因其文化獨特性與永續經營模式,獲選「全球百大永續故事獎(Top 100 Sustainable Stories)」、並於第二屆觀光亮點獎中榮獲「最佳國際推薦獎」,讓台灣鹽業文化在國際舞台大放異彩,也為傳統產業開創新生命,成為文化資產活化的最佳典範。 這份對土地與文化的承諾,也深植於晉基建設的企業DNA。晉基建設以文化型永續建商自許,積極推動減碳建築與永續工法,旗下「森NEX」取得台灣首棟藍寶石級減碳建築認證,減碳幅度達30%,為品牌落實永續理念的重要里程碑。同時,晉基也將文化底蘊延伸至社區生活,透過藝文展覽、節慶體驗與永續講座,致力於社區文化營造,打造兼具居住品質與人文溫度的宜居聚落。 陳仁昌表示:「這份榮耀屬於每一位與我們共同守護台灣土地的夥伴。未來,晉基建設將持續結合減碳建築、社區營造與在地觀光,讓世界看見台灣的人文底蘊與永續之美。」
在美國,即使擁有醫療保險,高昂的醫療費用仍可能使家庭陷入困境。喬治亞州一位名為卡珊德拉·尼爾森(Cassenda Nelson)的單親媽媽,每月支付 787 美元(約新台幣 2.5 萬元)的保險費,卻仍難以負擔患有複雜疾病的 16 歲女兒阿穆內特(Amunet)的醫療費用。 尼爾森是一位社區醫療工作者,主要負責癌症篩檢教育。她表示,過去五年對她和女兒來說是一段艱難的時期。2020 年,阿穆內特被診斷出患有第二型糖尿病和癲癇,需要每天注射胰島素和其他藥物,並接受全天候的照護,還需頻繁出入急診室。由於她們居住在喬治亞州西南部的鄉村小鎮卡米拉(Camilla),有時需要長途跋涉才能找到專科醫生。 高額的醫療費用已對尼爾森一家的生活造成嚴重影響。她估計,目前醫療債務已超過 1 萬美元,且可能更高。持續不斷的醫療支出讓她難以負擔房租、食物和水電等基本生活開銷。有時,她甚至難以購買日常食品,不得不縮減其他方面的開支,例如暫停支付兒子的學費。由於無力聘請看護,她只能依靠其他孩子或帶著女兒一起上班。 尼爾森的遭遇並非個案。在美國,有超過 1 億人面臨無力償還醫療費用的困境。醫療債務是導致個人破產的主要原因之一。KFF 在 2024 年對政府數據進行的分析顯示,千禧世代和 X 世代的醫療債務負擔最重。非裔美國人和居住在鄉村地區的居民面臨的風險最高,其中約 14% 的人欠款至少 1 萬美元。 即使尼爾森擁有雇主提供的醫療保險,也難以應對高昂的醫療費用。為了讓女兒獲得最好的醫療照護,她選擇了保費較高的保險方案,但這也壓縮了她的其他生活預算。此外,她還必須應對繁瑣的醫療文件、與保險公司進行無數次的電話溝通,以及往返於各個醫療機構之間。 由於醫療債務超過 500 美元的門檻且持續一年以上,尼爾森的信用評分也大幅下降,這使得她更難以獲得租賃或汽車貸款的批准。沉重的經濟壓力也導致她的精神健康狀況惡化。 儘管面臨重重困難,尼爾森仍然不放棄,每天努力工作,並祈禱女兒的健康能有所好轉。 美國的醫療保險制度複雜且費用高昂,對許多中低收入家庭造成了沉重的負擔。相較之下,台灣的全民健康保險(健保)制度以其涵蓋範圍廣泛、費用相對較低而聞名,讓民眾能夠以較低的成本獲得基本的醫療服務。美國醫療體系的現況,或許可供台灣在持續精進健保制度時借鏡,確保所有國民都能享有可負擔且高品質的醫療照護。
記者王百佑/台北報導 2026 年初,台灣數位文化圈掀起一場「俗與雅」的激烈碰撞。音樂人黃宇菲(HUF)透過 AI 協作,發表了轟動網路的「諧音三部曲」。這三首歌不僅在聽覺上極具 Groovy 感,更深層的意義在於:它將台灣民間長年被視為「沒教養」的國罵與粗俗諧音,轉化為對社會現實的犀利剖析。這不僅是創意的轉化,更是一場關於階級、環境與職場生存的集體情緒釋放。 一、 語言的階級性:當「國罵」成為環境的正義辯證 首部曲《贛林老木》的爆紅,源於標題對「幹你老母」的優雅轉譯。在台灣的社會結構中,語言往往被標籤化:正式、典雅的辭彙屬於社會精英,而「國罵」則被歸類為底層或不文明的產物。 黃宇菲透過 70 年代 Funky Soul 的老靈魂曲風,重新定義了這句「國罵」。當歌詞將憤怒對象從「人」轉向「對大地的貪婪」,那句原本帶有攻擊性的語言,瞬間變成了萬年老木對人類文明的最終蔑視。這是一種語言的「轉型正義」——它保留了草根語言的爆發力,卻將其引導至更宏大的環境保育議題,嘲諷人類為了利益而犧牲永續的短視行為。 二、 宿命論的現代轉譯:以「卵」擊石的社會無力感 二部曲《詠蘭叫貢九逃》則碰觸了台灣民間最具自嘲色彩的成語——「用懶覺貢九逃(以卵擊石)」。這句帶有生理與自虐意象的俗語,精準地捕捉了台灣小人物在面對體制巨人時的無效抗爭與極度痛苦。 黃宇菲並非單純取笑這種粗鄙,而是將其置入「火場生死」的悲劇脈絡中。這反映了現代社會中「情緒勞動」與「生存壓力」的疊加:當災難發生時,那些在社會邊緣掙扎的人,往往只能用最原始、最徒勞的方式去守護心中僅存的價值。AI 產出的強大銅管樂重擊,就像是那種徒勞掙扎的靈魂心跳,讓人在搖擺中感受到一種近乎荒誕的悲涼。 三、 順從式的抵抗:社畜的最終「吸我」抗議 最終章《恕我攔轎》則是最具社會寫實意義的一篇。標題諧音直指台語的「吸我懶覺」,這種極致的挑釁隱藏在「恕我(Excuse me)」的文明外衣之下。 這正是一幅當代「社畜心態」的社會素描:在權力不對等的職場與階級中,小人物必須隨時保持禮順,卑微地「扛下大人物留下的爛攤子(背鍋)」。黃宇菲捕捉到了這種「文明面具下的瘋狂」。當他在音樂中大聲吼出「攔轎」時,那是所有被迫低頭的靈魂,對這個方向盤永遠握在少數人手中的狂飆世界,進行的一次集體反擊。 五、 創作者的「辣椒哲學」:黃宇菲的創作觀點 「諧音梗就像辣椒,它能抓住眼球,但過量就會髒掉。」黃宇菲在接受專訪時,精闢地總結了他的創作心法。這位擁有20年廣播經驗與30年校園宣導資歷的資深媒體人,對於「資訊傳遞」有著極其清醒的自覺: 諧音作為「議題引信」: 黃宇菲認為,傳統的宣導(如環保、防災、社會正義)往往因為太過「正經」而導致流量低、成效差。他將大眾喜愛的諧音梗定義為「吸睛辣椒」,先用感官刺激吸引注意,再將嚴肅的社會命題植入聽眾腦海。這是一種「點到為止」的藝術,旨在喚起大眾思考的可能性,而非單純的低俗惡搞。 止於「三部曲」的堅持: 即便市場反應熱烈,黃宇菲仍堅持「三部曲」即是終點。他認為創作的價值在於「啟發」而非「量產」。他希望透過這次音樂實驗,展示如何將數位工具應用於社會溝通,並鼓勵更多創作者挑戰框架,用自己的語言說出這塊土地的故事。 黃宇菲的作品證明了,在AI時代,數據可以被模擬,但土地的氣息與社會的痛點無法被取代。這「諧音三部曲」不僅是趣味,更是數位時代民謠,唱出了這個時代最真實、最帶種的靈魂聲音。 註:黃宇菲在正聲廣播周一到周六下午兩點的節目《午後兩點》擔任主持人,讀者們可以去收聽。 【深度專題】諧音、國罵與機器學習:黃宇菲音樂實驗中的社會心理圖譜